Advanced Treatment Consmetic Dentristry
Your smile is one of your most important features. Dentistry is continually evolving, and with a variety of advanced treatment options, achieving a beautiful, healthy, aesthetic smile is made easy for patients of all ages.
Are you ready for a Smile Makeover?

If you’re considering cosmetic dental treatment, ask yourself a few simple questions:
- Do you hesitate when you smile?
- Would you like to increase your self-confidence?
- Do you want to look your best in social or professional situations?
- Are you ready to reverse any dental imperfections you may have?
If you’ve answered yes to any of these questions, cosmetic dentistry may be the answer you’ve been looking for!


Cosmetic Dentistry is an Art and a Science

Let us help you achieve your smile goals! Cosmetic dentistry is different from general dental care; it is both an art and science. By providing cosmetic dental care, your dentist is able to offer smile enhancement, restoration, and maintenance treatments for optimal dental health. Using cutting-edge techniques and advanced materials, our office proudly offers you a beautiful, natural smile and all the benefits that come with it.
Feel more confident about your appearance with a new smile that is as beautiful as it is healthy. You no longer have to suffer from missing, chipped, discolored, or crooked teeth. Contact our practice today and schedule your smile makeover!


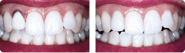
Bonding is a painless procedure used to restore damaged, discoloured or misaligned teeth. Your dentist applies a plastic putty called Composite Resin to the surface of the tooth, shaping it to cover chips or other problems. The resin is then exposed to a bonding light until hardened. When it has been smoothed and polished, your teeth will look better and feel great!

Improve your quality of life, dramatically improve your chewing ability and regain your confidence in public with dental implants!If you are looking for a way to replace a missing tooth that is most similar to your natural one, an implant may be your solution. Dental implants are small, sturdy, titanium posts, that act as the root structure would for a natural tooth. A dental implant is placed into your upper or lower jaw bone. After the bone has grown around the implant, implants can hold a crown, bridge or over-denture just like roots hold natural teeth in place. Implants are very durable and can last a lifetime. They require the same maintenance as natural teeth; this includes brushing, flossing and regular dental check-ups.
Dentist-prescribed home whitening is a new whitening alternative. It combines the convenience of at-home whitening products with the assistance and expertise of your dentist. Here’s how it works: We take a model of your teeth and use it to make a custom-fitted tray. Then we provide you with instructions for application of the tray, which contains whitening gel. You wear it each day or night for as little as 1 hour, only returning to have the procedure monitored. Patients often see results after the first day. A significant change can be noticed in as little as 3 days. Maximum results will be achieved with use over a 4 to 6 week period. For further information, please speak to a team member today!